腦卒中又稱腦中風,作為威脅人類健康的 “頭號殺手” 之一,其高發病率、高致殘率長期以來是醫療領域的嚴峻挑戰 —— 傳統治療受限于時間窗、技術精度和修復能力,許多患者錯失最佳救治時機,或面臨終身神經功能障礙。而如今,隨著精準醫學、再生醫學與智能技術的深度融合,腦卒中治療正經歷前所未有的變革。
本文將系統梳理截至2025年10月中風的8種前沿治療技術進展,涵蓋:精準再灌注技術、神經調控技術、干細胞治療、取栓效率突破、康復技術、藥物治療、微創干預技術以及前沿技術這8個方向的最新進展。展現腦卒中治療從 “被動應對” 到 “主動攻克” 的轉型之路。

2025中風的8種最新治療方法指南(截至10月)
一、精準再灌注技術升級:從時間窗突破到影像導航
1.1 超時間窗溶栓的AI輔助決策
超時間窗溶栓的AI輔助決策治療腦卒中,是指通過人工智能(AI)技術輔助醫生在傳統溶栓時間窗(通常為發病后4.5小時)之外,對急性缺血性腦卒中患者進行精準評估和治療決策的過程。這一模式突破了傳統時間窗的限制,為更多患者爭取了治療機會。
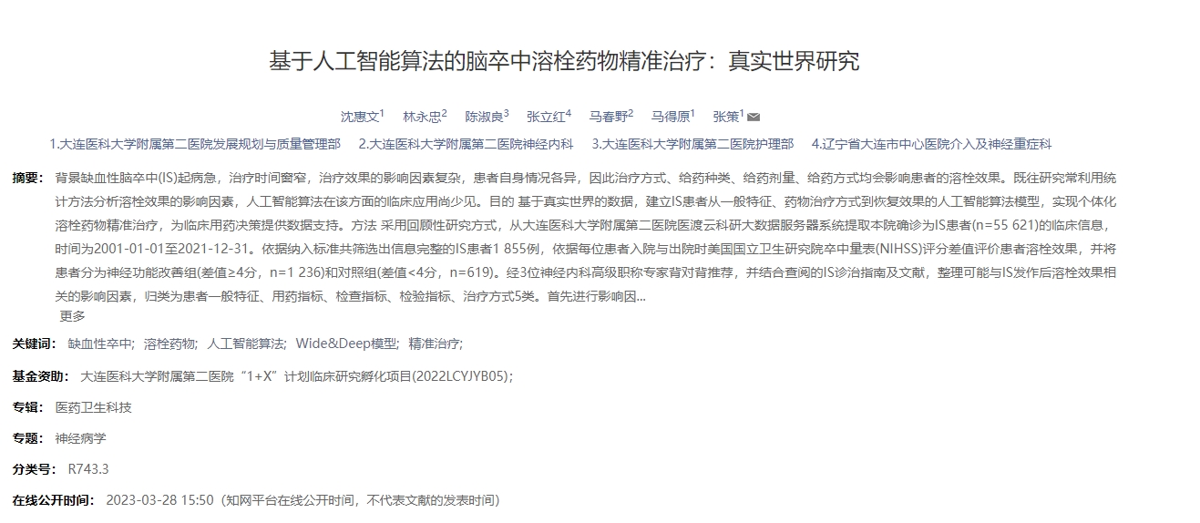
大連醫科大學附屬第二醫院在《中國全科醫學》發表過一項基于人工智能算法的腦卒中溶栓藥物精準治療的真實世界研究。[1]

研究納入26項患者特征(如用藥種類、給藥方式等),通過主成分分析降維后構建模型,比較了Logistic回歸、SVM、決策樹、DNN及Wide&Deep等模型的預測效果。
結果顯示,Wide&Deep模型表現最優,測試集準確率達81.5%,F指數為87.1%,ROC曲線下面積達0.793。模型參數優化后,隱含層設置為7層(每層15個神經元),采用Sigmoid激活函數。
進一步分析發現,影響溶栓效果的關鍵因素排序為:腦血管病史 > 用藥種類 > 給藥方式 > 單次劑量 > 動脈粥樣硬化 > 溶栓時間窗 > 是否使用抗凝/活血化瘀藥物。模型簡化后,外部驗證準確度仍達80.1%。
研究結果表明Wide&Deep模型在預測溶栓效果上具有顯著優勢,臨床決策可重點關注上述關鍵因素以提高治療成功率。
1.2 替奈普酶橋接取栓的突破性進展
2025年5月21日,陸軍軍醫大學第二附屬醫院神經內科楊清武教授和資文杰教授團隊牽頭、全國共39家卒中中心參與的《替奈普酶靜脈溶栓聯合取栓術對比單獨取栓術治療急性大血管閉塞性卒中的多中心隨機對照試驗(BRIDGE-TNK)》登頂《新英格蘭醫學雜志》(NEJM),并同步于歐洲卒中組織會議(ESOC 2025)開幕式全體會議向全球發布![2]
試驗表明,對于4.5小時內大血管閉塞性卒中患者,靜脈注射替奈普酶聯合血管內取栓術相比單純取栓術,可顯著提高患者90天功能獨立性。
楊清武教授表示:“這不僅是藥物的升級,更是治療策略的智慧選擇。對于時間窗內且無禁忌證的患者,替奈普酶橋接能‘軟化’血栓,讓取栓更高效。而高齡、出血風險高的患者,直接取栓仍是優選。”

二、神經調控技術:腦機接口與電刺激重建神經通路
2.1 非侵入式腦機接口(BCI)康復系統
非侵入式腦機接口(BCI)康復系統治療腦卒中是通過腦電帽捕捉運動意念信號,驅動外骨骼手套帶動癱瘓肢體運動,強化“意念-動作”關聯,促進神經重塑。
2025年6月,同濟大學附屬養志康復醫院(上海市陽光康復中心)“腦機接口專病門診”開診,而早在兩年前,住院患者便享受到了這項高科技的康復加持——“動動念頭”便能重新喚醒“沉睡”的肢體。[3]

其中49歲的趙教授就通過腦機接口康復,經歷了從手部僵硬到能夠主動抓握的過程。趙教授在事業正盛時突遭中風,左側身體癱瘓。經過半年努力,雖然能步行,但左手始終僵硬無力,“像戴著厚厚的棉手套,連書頁都翻不開。”無法打字備課,作為一名學者,讓他深感絕望。
2025年2月,趙教授來到養志康復醫院神經康復科。專家團隊為他量身定制了腦機接口協同康復方案,戴上特制的“腦電帽”,捕捉他想動左手的信號,實時指揮機器手帶動他的手進行抓握動作。僅僅經過一個月的強化訓練,趙教授的左手就可以主動抓握。
自2021年引進國際前沿的無創腦機接口技術以來,養志康復醫院已為超過200名因中風、腦外傷等導致肢體癱瘓的住院患者提供了精準、個性化的康復治療,積累了寶貴經驗。其中,接受腦機接口治療95%以上的患者,都有了可觀測的功能改善,包括手指活動更靈活了,吃飯、穿衣等日常生活能力提高了。即使是患病超過一年的患者,也通過這項技術突破了傳統康復的瓶頸。
2.2 經顱直流電刺激(tDCS)
經顱直流電刺激(tDCS)治療腦卒中是一種利用微弱電流調節大腦皮層神經元活動的非侵入性神經調控技術,旨在促進腦卒中患者的神經功能恢復。
2025年7月12日,首都醫科大學附屬北京潞河醫院在《Neurological Science》上發表了一項經顱直流電刺激改善腦卒中后認知障礙患者腦網絡連接與拓撲結構的靜息態功能磁共振研究。[4]

在本項雙盲研究中,65名患有卒中后認知障礙 (PSCI)的缺血性卒中 (IS) 患者被隨機分配到tDCS組或對照組。干預前后采集了RS-fMRI數據。我們分析了功能連接(FC)和基于圖論的拓撲特性。認知表現采用簡易精神狀態檢查表(MMSE)和蒙特利爾認知評估量表(MoCA)進行評估。
治療后,兩組患者的MMSE和MoCA評分均有所改善,但tDCS組的改善更為顯著。tDCS組的四對腦區之間的FC顯著增加。此外,整體效率也顯著提高,并且這種改善與MMSE評分的提高呈正相關。
這些發現表明,經顱直流電刺激通過改變大腦網絡連接和拓撲組織來改善卒中后認知障礙中的認知功能,為其治療機制提供神經影像學證據。
三、再生醫學:干細胞治療重塑神經功能
3.1 神經干細胞移植治療
2025年2月17日,舉行的國際卒中大會(ISC 2025)上,一項題為《首次使用胚胎源性神經干細胞 (NR1) 進行腦內移植治療慢性缺血性中風的人體1/2a期研究 (NCT04631406):12個月結果》的臨床研究報告引起了廣泛關注。[5]
該研究揭示了通過神經干細胞移植技術,能夠顯著改善患有超過12個月慢性缺血性中風成年患者的神經功能和運動能力。

首次人體臨床試驗為期12個月,納入了18名缺血性皮層下大腦中動脈中風后6至60個月的成年人,他們的改良Rankin量表評分為3或4。研究發現:
12個月內觀察到顯著神經功能改善:17名隨訪≥3個月的患者中,所有受試者Fugl-Meyer運動功能量表(FMMS)總分均提升,其中11人達到臨床意義的恢復;12個月時,總FMMS平均增加12.1分,上肢和下肢功能分別提升7.4分和4.7分,日常生活能力(BI)提高7.7分,美國國立衛生研究院卒中量表(NIHSS)改善1.77分,步行速度亦顯著增強。
影像學顯示,14名患者在第7天出現運動前皮質瞬態FLAIR信號(2個月內消退),靜息態fMRI提示感覺運動網絡功能連接增強,FDG PET證實同側運動皮質及對側小腦代謝活性提升。
安全性方面,僅出現頭痛、短暫性失語癥惡化及無癥狀硬膜下積液等輕微不良事件,均自行緩解。
3.2 人胎盤來源3D間充質干細胞注射液
2025年3月28日,國健清科生物醫藥科技宣布,其自主研發的”人胎盤來源3D間充質干細胞(MSC)注射液”正式獲得國家藥品監督管理局(NMPA)臨床試驗默示許可(IND)。[6]
該產品依托清華大學深圳國際研究生院吳耀炯團隊十年攻關成果,采用全球首創的3D無載體懸浮培養技術制備,為急性缺血性腦卒中患者提供革命性治療方案。

此次獲批的3D MSC注射液采用全球首創的“發酵罐無載體懸浮培養基”工藝,突破了傳統二維平面培養的局限。
較傳統方法制備的MSC,3D MSC具有體積小,遷徙能力高,細胞表面關鍵受體CXCR4表達大幅增加,靜脈、動脈注射都不會堵塞血管,免疫調節因子和生長因子的表達水平更是顯著提升。這一技術革新不僅大幅提升了藥物療效,更為規模化生產及質量控制提供了可靠保障,填補了國際空白。
3D-MSC注射液三大核心創新:
- 高效遷徙能力:細胞體積縮小70%,CXCR4受體表達量達50%,突破肺血管屏障,靶向富集損傷組織;
- 超強修復活性:單細胞測序證實其免疫調節因子(TSG-6、PGE2等)和生長因子(VEGF、IGF等)分泌量較2D-MSC提升3-5倍;
- 規模化量產:通過生物反應器無載體懸浮培養技術,年產能可達10萬劑,滿足全球臨床需求。
吳耀炯教授在采訪中表示:“這項技術的核心在于通過三維動態培養模擬體內微環境,使干細胞在體外保持更接近生理狀態的活性和功能。我們攻克了傳統培養方式中細胞易老化、功能衰退的難題,使得3D MSC在移植后的存活率和治療效果顯著提升。”他特別強調,該技術的規模化生產將大幅降低治療成本,為腦卒中等疾病的細胞治療普及奠定基礎。“這是中國科學家在再生醫學領域邁出的重要一步,也為全球患者帶來曙光。”
詳情請瀏覽:干細胞治療中風:如何從短期神經損傷降低到長期影像學改善?臨床案例分析
四、血管內治療創新:取栓效率再突破
4.1 血管內機械取栓(EVT)
2025年7月4日-6日,由中國卒中學會主辦的“中國卒中學會第十一屆學術年會暨天壇腦血管病會議2025(CSA & TISC 2025)”上,澳大利亞皇家墨爾本醫院的Bernard Yan教授團隊主導了EVT在中遠端血管閉塞(如 ESCAPE-MEVO、DISTAL 研究)、NIHSS評分≥8分且灌注不匹配患者(FRONTIER-AP-X 研究)及超時間窗患者(LATE-MT 研究)的探索,并推動機器人輔助機械取栓技術(含遠程操作系統)的臨床應用。[7]
在治療人群方面,STAY-HOME研究初步數據表明,對于卒中前已存在殘疾(mRS評分3~4分)的老年患者,雖然EVT治療風險較高,但功能改善潛力值得期待。
在治療時間窗方面,LATE-MT研究突破傳統時間窗限制,針對發病超24h、且NIHSS評分≥5分的AIS患者進行取栓療效的探索。未來,機器人輔助機械取栓技術的快速發展,特別是遠程操作系統的臨床應用,有望提升偏遠地區卒中患者的救治可及性和治療效果。

4.2 Zoom再灌注系統+DuoPort技術
Zoom再灌注系統+DuoPort技術治療腦卒中是一種基于雙導管同步抽吸的機械取栓技術,結合了Imperative Care公司開發的Zoom系統及其DuoPort技術,旨在通過優化血栓清除效率和安全性,為急性缺血性腦卒中(AIS)患者提供更快速、有效的再灌注治療。
2025年5月7日,致力于開發互聯創新產品、提升卒中和其他缺血性疾病治療水平的醫療技術公司Imperative Care宣布推出Zoom DuoPort技術——醫生可借助單一真空泵,同時使用2根Zoom抽吸導管進行“持續雙重抽吸操作(Continuous Dual Aspiration Technique)”,以作為旗下Zoom卒中再灌注系統的進一步擴展。配合該技術使用的2個Zoom POD(可實時反饋的血栓過濾裝置),可在醫生開展連續雙重抽吸操作時,提供增強的抽吸控制能力以及來自無菌區域的即時血栓反饋。[8]

Zoom再灌注系統是全球首個綜合性卒中取栓系統,于2025年1月獲得美國食品藥品監督管理局(FDA)授予的510(k)認證,支持獲批的Imperative試驗臨床數據顯示,對于具有復雜解剖結構的患者,使用Zoom進行抽吸快速、有效且安全。
在接受雙重抽吸治療的患者中,從腹股溝穿刺至達到mTICI≥2B再灌注的中位時間約為19分鐘,是目前主要前瞻性機械取栓試驗已報告的最快時間。
隨著DuoPort技術的推出,Zoom再灌注系統成為了首個且目前唯一支持卒中持續雙重抽吸的系統,其抽吸的優勢以及治療的效率和便捷性也得到了進一步提升。
五、康復技術升級:主動參與式神經重塑
電子生物反饋療法
電子生物反饋療法腦卒中是指通過“智能設備實時監測患者的肌電信號”(如肌肉收縮強度),并將這些信號轉化為視覺或聽覺反饋(如屏幕動畫、聲音提示),讓患者直觀感知自身肌肉活動狀態,從而“主動調整運動模式”,促進神經功能重塑。
像鄭州市第七人民醫院在2025年7月14日發表的臨床數據顯示,該療法聯合康復機器人治療6周后,患者Fugl-Meyer評分提升50%以上,手部靈活性顯著改善。治療后Barthel指數(評估穿衣、進食等能力)也平均提高30%-40%。早期應用可降低關節攣縮風險,縮短康復周期。[9]

六、藥物治療創新:多靶點腦細胞保護
6.1 替奈普酶
《中國卒中學會急性缺血性卒中再灌注治療指南 2024》正式提出:在特定影像學評估支持下,缺血性卒中患者靜脈溶栓治療的時間窗可由傳統4.5小時擴展至24小時。
這一突破性更新基于首都醫科大學附屬北京天壇醫院王擁軍教授團隊于2024年6月15日在《NEJM》發表的重磅研究成果Tenecteplase for lschemic Stroke at4.5 to 24 Hours without Thrombectomy (TRACE-Ⅲ 研究)。[10]

TRACE-Ⅲ研究入組516例大血管閉塞所致缺血性卒中患者,其中264名隨機分配接受替奈普酶治療,252名接受標準藥物治療。
結果顯示:
- 功能預后:替奈普酶組90天改良Rankin量表(mRS)評分為0-1(良好預后)的比例顯著高于標準治療組;
- 安全性:兩組生存率相似,與標準藥物治療相比,在卒中發作后4.5至24小時內使用替奈普酶治療的患者殘疾率較低。
TRACE-Ⅲ研究證實,在嚴格影像學篩選基礎上,替奈普酶可安全有效地延長溶栓時間窗至24小時,為錯過傳統時間窗的患者提供了新的治療選擇。這一成果標志著急性缺血性卒中治療從“時間依賴”向“影像引導”的范式轉變,有望顯著改善患者的長期功能結局。
6.2 依達拉奉右莰醇注射用濃溶液
2024年10月,首都醫科大學附屬北京天壇醫院院長王擁軍教授公布了由其牽頭的一項研究者發起(IIT)的中國多中心隨機雙盲安慰劑對照研究(TASTE-2研究)結果。[11]
研究結果顯示,急性缺血型卒中患者在血管內取栓治療(EVT)前,開始給予依達拉奉右莰醇注射用濃溶液進行腦細胞保護,可提高患者90天時神經功能恢復效果。這一結果的發布,有望支持依達拉奉右莰醇作為卒中取栓的聯合治療方案,可進一步提升患者卒中后功能恢復的療效。

6.3 依達拉奉右坎醇舌下片
2024年2月,北京大學第三醫院神經內科樊東升教授團隊在神經病學領域權威期刊《美國醫學會雜志:神經病學》上證實了依達拉奉右莰醇(先必新)舌下片能夠顯著改善發病48小時內的急性缺血性腦卒中(AIS)患者第90天神經功能結局。[12]
此外2025年7月,由中國卒中學會主辦的“中國卒中學會第十一屆學術年會暨天壇腦血管病會議2025(CSA & TISC 2025)”上暨南大學附屬第一醫院徐安定教授同樣證實,依達拉奉右莰醇(注射液、舌下片)可改善AIS患者預后,支持序貫治療。TASTE系列研究證實,多靶點腦細胞保護劑依達拉奉右莰醇可顯著改善AIS患者預后,且安全性良好。[13]

6.4 米諾環素
同樣暨南大學附屬第一醫院徐安定教授表明:EMPHASIS研究初步證明,神經抗炎藥物米諾環素可顯著改善發病72小時內AIS患者功能預后,且不顯著增加癥狀性顱內出血。
七、微創干預技術:從開顱手術到精準介入
7.1 3D打印技術定位下腦內血腫穿刺術
3D打印可以制作個性化的手術導板。在神經外科手術中,手術導板可以幫助醫生更準確地進行鉆孔、切割等操作。在顱骨鉆孔時,定制的3D打印手術導板能夠確保鉆頭準確地到達病變部位,提高手術的精準性。
新疆醫科大學第一附屬醫院神經外科中心已成功將該技術應用于多例腦卒中患者的治療。以一例典型病例為例:[14]
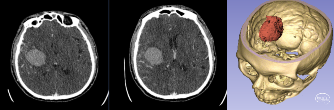
- 患者情況:52歲女性,因“右側肢體無力1天”就診,入院時呈淺昏迷狀態,雙側瞳孔等大等圓(直徑約3.5mm),對光反射遲鈍,右側肢體肌力為0級。
- 手術過程:基于術前影像數據,團隊利用3D打印技術設計并制作個性化手術導板,精準定位血腫位置后實施穿刺引流。術后復查頭部CT顯示,引流管準確位于血腫腔內,血腫清除效果良好。

7.2 神經內鏡輔助下腦內血腫清除術
隨著內鏡技術不斷進步,其在HICH治療也逐步普及。內鏡手術切口小,對腦組織的干擾小,照明視野佳,短時間內可清除大量血腫;但通道也可能損傷重要白質纖維束,同時操作空間較小,復雜出血難以控制。[14]
以一例典型病例為例:
患者情況:57歲男性,以“頭疼伴左側肢體無力2天”為主訴入院,查體:神志嗜睡,言語欠佳,口角右偏,伸舌左偏,左側肌力1級,GCS評分12分。
手術過程:手術后第一天,復查頭部CT,顯示血腫基清除干凈,血腫清除率為:97%.

7.3 神經外科手術機器人輔助下腦內血腫穿刺術
隨著手術機器人技術不斷進步,神經外科手術機器人也逐漸運用到腦出血的治療。將患者的CT或磁共振影像數據導入到神經外科手術機器人系統,通過軟件重建在術前將病變立體化、可視化,通過規劃手術路徑可以精準避開重要血管與神經做到更加微創。而精準定位的機械臂則負責將術前規劃的方案與路徑在患者的頭顱具體部位指示出來輔助醫生的手術操作。目前神經外科手術機器人精準度可以達到0.1mm級別,真正做到了安全精準。[14]
以一例典型病例為例:
患者情況:患者男性,55歲,以“左側肢體無力1天”為主訴就診。神志昏睡,雙瞳等大等圓,直徑約3mm,對光反射遲鈍,左側肢體肌力0級。
手術過程:手術后第一天,復查頭部CT,顯示引流管在血腫腔內。手術后第二天,復查頭部CT,顯示引流管在血腫腔內。血腫基本引流干凈。手術后第五天,復查頭部CT,血腫基本引流干凈。

八、前沿探索技術:從實驗室到臨床轉化
8.1 光遺傳學神經調控
中國復旦大學工程與應用技術研究院超越照明研究所的李敏團隊發現水凝膠神經探針,結合藍光調控技術,在大鼠模型中使梗死體積縮小38%,運動功能恢復率達65%。該技術通過光激活離子通道蛋白,實現受損神經元的定向放電重建。[15]
8.2 可穿戴設備的實時預警
新型腦電頭環結合邊緣計算,可實時監測皮層慢波活動。StrokeMonitor 研究顯示能夠提前2小時預警腦水腫加重趨勢。設備通過藍牙連接云平臺,實現遠程醫療管理。
結語
腦卒中防治已從“爭分奪秒”轉向“科學精算”,技術創新與臨床實踐的深度融合為患者點亮生命之光。未來,隨著AI算法優化、干細胞療法規范化及神經調控技術普及,更多超時間窗患者將重獲新生。但挑戰猶存:技術推廣需跨越地域壁壘,個體化方案需兼顧成本與可及性。唯有醫工協同、多學科聯動,方能將實驗室成果轉化為普惠醫療,讓每位患者都能在“黃金時間”外,依然擁抱健康未來。
參考資料:
[1]沈惠文,林永忠,陳淑良,等.基于人工智能算法的腦卒中溶栓藥物精準治療:真實世界研究[J].中國全科醫學,2023,26(17):2070-2077+2088.
[2]腦卒中救治取得重大突破!陸軍軍醫大學第二附屬醫院神經內科團隊發布創新診療方案|血管|治療|溶栓|取栓|楊清武|缺血性|國際罕見病日_網易訂閱
[3]https://www.shobserver.com/sgh/detail?id=1600410
[4]Zhong, J., Jing, X., Liang, Y. et al. The impact of transcranial direct current stimulation on brain network connectivity and topology in post-stroke cognitive impairment patients: a resting-state fMRI study. Neurol Sci (2025). https://doi.org/10.1007/s10072-025-08348-8
[5]https://www.ahajournals.org/doi/10.1161/str.56.suppl_1.26
[6]https://bydrug.pharmcube.com/news/detail/a61e74def5361ab03753e8d5b06252f3
[7]https://www.toutiao.com/article/7524394861810680363/?upstream_biz=doubao&source=m_redirect
[8]https://www.brainmed.com/info/detail?id=52868
[9]http://www.zzsqy.com.cn/NewsDetail-14662.html
[10]https://www.nejm.org/doi/abs/10.1056/NEJMoa2402980
[11]https://www.healthnews.com.cn/hyfz/yy_hyzx/2024/1029/498651.html
[12]Fu Y, Wang A, Tang R, et al. Sublingual Edaravone Dexborneol for the Treatment of Acute Ischemic Stroke: The TASTE-SL Randomized Clinical Trial. JAMA Neurol. 2024;81(4):319–326. doi:10.1001/jamaneurol.2023.5716
[13]https://www.toutiao.com/article/7524394861810680363/?upstream_biz=doubao&source=m_redirect
[14]https://www.brainmed.com/info/detail?id=49772
[15]https://www.toutiao.com/article/7054066083912794637/?upstream_biz=doubao&source=m_redirect
免責說明:本文僅用于傳播科普知識,分享行業觀點,不構成任何臨床診斷建議!杭吉干細胞所發布的信息不能替代醫生或藥劑師的專業建議。如有版權等疑問,請隨時聯系我。
掃碼添加微信